Grootst MRI-Scanner ooit toont hersenen in hogere resolutie

di 9 april 2024 - 15:00
MRI
Onderzoek
Nieuws

De Franse overheidsorganisatie CEA laat de wereld kennis maken met de nieuwe Iseult MRI-scanner. Dit is 's werelds krachtigste scanner die een magnetische veldsterkte van 11,7 tesla heeft. Dankzij deze machine kunnen onderzoekers menselijke hersenen met zeer grote precisie weergeven en dat biedt perspectief voor toekomstige studies naar Alzheimer en Parkinson. Dit succes is het resultaat van meer dan twintig jaar intensief onderzoek en ontwikkeling. Uiteindelijk zal het de deuren openen voor nieuwe studies naar gezonde alsook zieke hersenen.

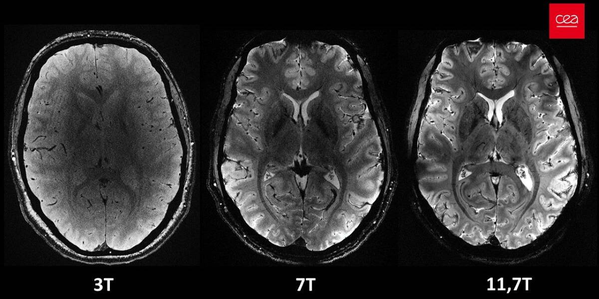
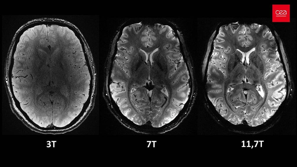
Het Commissariat à l'énergie atomique et aux énergies alternatives (CEA) is een toonaangevende Franse overheidsorganisatie die zich richt op onderzoek, ontwikkeling en innovatie. Opgericht na de Tweede Wereldoorlog, in 1945, speelt het CEA een grote rol in het bevorderen van wetenschappelijke kennis en het stimuleren van technologische ontwikkeling in Frankrijk en daarbuiten. De organisatie presenteert nu de Iseult MRI-scanner. Deze bleek in staat om in vier minuten tijd de meest indrukwekkende anatomische hersenbeelden ooit te produceren. Met 11,7 Tesla overtreft de machine de huidige ziekenhuisscanners (1,5 of 3 tesla), niet alleen op het gebied van snelheid maar ook in het geven van details in de beelden.

Ongelooflijke hersendetails

Op de scans van de hersenen zijn ongelooflijke details zichtbaar tot wel 0,2 millimeter, waaronder zeer fijne bloedvaatjes in het brein. Het detailniveau is indrukwekkend, want reguliere scanners hebben een resolutie van ongeveer 1 millimeter. De grote mate van detail geeft nieuwe inzichten in de anatomie, verbindingen en activiteit van de hersenen. Het stelt onderzoekers in staat om fundamentele vragen over hersenmechanismen te beantwoorden. Bovendien opent het nieuwe onderzoeksmogelijkheden naar de diagnose en behandeling van neurodegeneratieve ziekten zoals Alzheimer en Parkinson. Tot slot biedt deze krachtige machine aanknopingspunten voor toekomstige studies, die kunnen helpen om de effectiviteit van medicijnen, zoals lithium voor bipolaire stoornissen, beter te begrijpen.

Bouwen aan MRI met 14 Tesla

Ook in Nederland wordt hard gewerkt aan een reusachtige MRI-scanner die zelfs nog krachtiger is dan het Franse exemplaar. Dit apparaat, het resultaat van het project DYNAMIC, zal namelijk een ongeëvenaarde magnetische veldsterkte van 14 tesla hebben. Organisaties als Amsterdam UMC, Leids Universitair Medisch Centrum (LUMC) en het Spinoza Centre for Neuroimaging werken mee aan de scanner die op termijn komt te staan op het terrein van het Radboudumc.

De scanner wordt beschikbaar voor alle wetenschappers in Nederland zodat nieuwe onderzoeksgebieden mogelijk zijn voor de hele wetenschappelijke gemeenschap. De verhoogde gevoeligheid van deze scanner zal niet alleen gedetailleerdere hersenbeelden produceren maar ook inzichten verschaffen in de onderliggende mechanismen van ziektes in het hele lichaam. Deze bijzondere machine zal de komende jaren in gebruik worden genomen voor onderzoeksdoeleinden.

Recente innovaties  

Niet alleen worden MRI-scanners steeds sterker in termen van Tesla, maar er zijn ook tal van andere nieuwe ontwikkelingen. Ook dankzij de inzet van AI worden bijvoorbeeld beelden steeds scherper. Ook kan met behulp van large language models een MRI-scanner tegenwoordig ‘gedachten lezen’.

Een ander novum was er eind 2023 tijdens de Week van de Verpleegkundigen in België. Het AZ Delta in Roeselare schreef toen geschiedenis door de allereerste MRI-scan op afstand in het land uit te voeren. Hoewel de technologie en de software voor dergelijke scans al geruime tijd bestonden, ging de primeur naar dit ziekenhuis. De testpatiënt bevond zich op de radiologieafdeling van het AZ Delta in Roeselare, terwijl de medewerker van de radiologieafdeling de MRI-scanner op een afstand van 50 kilometer bediende vanuit het Kursaal Oostende.


Hoe de zorg haar toekomst inricht? Duizenden zorgprofessionals ontdekken wat echt werkt en verzilveren kansen. Claim ook jouw ticket en ervaar het op het ICT&health World Conference 2026!