Nierschade vroegtijdig detecteren met AI-analyse van CT-scans

wo 30 april 2025 - 15:00
AI
Nieuws

Een onderzoeksteam van de Technische Universiteit München (TUM) heeft een methode ontwikkeld om vroegtijdige nierschade als gevolg van bepaalde kankerbehandelingen te voorspellen. Maanden voordat er een meetbare afname van de nierfunctie gedetecteerd kan worden, beginnen de nieren te krimpen. De onderzoekers zijn erin geslaagd om die trend te detecteren met behulp van een AI-algoritme waarmee CT-scans van de nieren geanalyseerd werden. Daarnaast werden vergelijkbare veranderingen in de milt waargernomen. De nieuwe AI-analyse methode zou er volgens de onderzoekers in de toekomst toe kunnen leiden dat kankerbehandelingen aangepast worden om orgaanschade te voorkomen.

Voor hun onderzoek, gepubliceerd in Radiology, evalueerden onderzoekers van de afdelingen radiologie en nucleaire geneeskunde van het academisch ziekenhuis TUM gegevens van 121 patiënten die een behandeling ondergingen voor prostaatkanker met lutetium-177 PSMA. Deze radioligandtherapie - een gerichte vorm van nucleaire geneeskunde - is relatief nieuw en is veelbelovend voor de behandeling van specifieke tumortypes. Een mogelijke bijwerking is echter een afname van de nierfunctie tijdens de behandeling.

“In een eerder onderzoek ontdekten we dat patiënten bij wie de nierfunctie verslechterde na lutetium-177 PSMA-therapie, veranderingen in de nierstructuur vertoonden. Omdat het niet haalbaar is om routinematig weefselmonsters te nemen, wilden we onderzoeken of deze veranderingen konden worden gedetecteerd met minder invasieve methoden”, zegt hoofdauteur Dr. Lisa Steinhelfer.

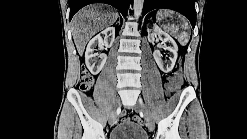
Niervolume als biomarker

Dr. Steinhelfer en haar collega's kozen voor een aanpak die de patiënten niet extra belast. CT-scans en bloedtesten maken deel uit van de standaard kankerzorg om de voortgang van de behandeling te controleren. De onderzoekers uit München onderzochten verschillende indicatoren in deze routinematig verzamelde gegevens om vroege tekenen van nierschade te vinden.

Terwijl factoren zoals de lengte van de nieren of de leeftijd van de patiënt geen betrouwbare voorspellingen opleverden, bleken veranderingen in het niervolume een sterk signaal te zijn: wanneer het niervolume binnen zes maanden na het begin van de behandeling met 10% of meer afnam, was de kans groot dat de nierfunctie binnen nog eens zes maanden aanzienlijk zou afnemen.

“Deze veranderingen in het niervolume zijn heel subtiel. Ze kunnen gemakkelijk over het hoofd worden gezien tijdens routine beeldbeoordelingen omdat artsen zich voornamelijk richten op het opsporen van tumoren en andere belangrijke bevindingen,” legt prof. Matthias Eiber uit, een van de hoofdauteurs van het onderzoek, samen met prof. Rickmer Braren. “Daarentegen kunnen beeldanalyse-algoritmen - mits goed getraind - zelfs deze kleine veranderingen betrouwbaar detecteren,” voegt Dr. Friederike Jungmann toe.

Ook voor andere kankerbehandelingen

“Als duidelijk wordt dat een patiënt na zes maanden behandeling een verhoogd risico loopt op nierinsufficiëntie, kan zowel het aantal therapiecycli als de dosering individueel worden aangepast. Dit zou een meer gepersonaliseerde behandelingsaanpak mogelijk maken”, legt Dr. Steinhelfer uit. Het academisch ziekenhuis van de TUM is momenteel betrokken bij twee prospectieve onderzoeken waarin deze strategie verder wordt geëvalueerd.

In een eerdere studie toonde het team van Dr. Steinhelfer ook aan dat veranderingen in de grootte van de milt kunnen dienen als een vroeg waarschuwingssignaal voor verstoringen in de bloedcelproductie. “Veel kankertherapieën kunnen de leverfunctie of het hematopoëtische systeem beïnvloeden. Ik denk dat onze benadering kan helpen om een breed scala aan behandeling gerelateerde bijwerkingen veel eerder te identificeren dan nu mogelijk is”, besluit ze.

AI en kanker

De meerwaarde van AI in het proces van de diagnose en behandeling van kanker is een ontwikkeling die al een tijdje gaande is en waar veel in geinvesteerd wordt. Zo ontvingen vorig jaar vier onderzoeksprojecten rondom het thema AI en kanker van het UMC Utrecht financiering van het Hanarth Fonds. De gehonoreerde projecten omvatten innovatieve methoden voor de versnelde herkenning van tumortypes, het beoordelen van het effect van (chemo)radiotherapie, het herkennen van uitzaaiingen bij prostaatkanker en het verbeteren van MRI-beeldvorming.

Eerder dit jaar berichtten wij over een door Duitse onderzoekers ontwikkeld AI-model ontwikkeld dat de personalisatie van kankerbehandelingen aanzienlijk verbetert. Door 350 parameters te analyseren, waaronder medische voorgeschiedenis, laboratoriumwaarden, beeldvorming en genetische analyses, biedt het model nauwkeurige prognoses voor individuele patiënten. Deze 'explainable AI' maakt de besluitvorming transparant door te tonen hoe elke parameter bijdraagt aan de voorspelling. Tests op meer dan 3.000 longkankerpatiënten bevestigden de effectiviteit van het model. Deze aanpak markeert een stap richting datagestuurde, gepersonaliseerde kankertherapieën.


Hoe de zorg haar toekomst inricht? Duizenden zorgprofessionals ontdekken wat echt werkt en verzilveren kansen. Claim ook jouw ticket en ervaar het op het ICT&health World Conference 2026!